受け口 男性 277474-受け口 男性
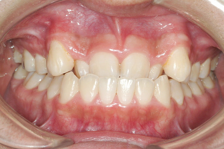
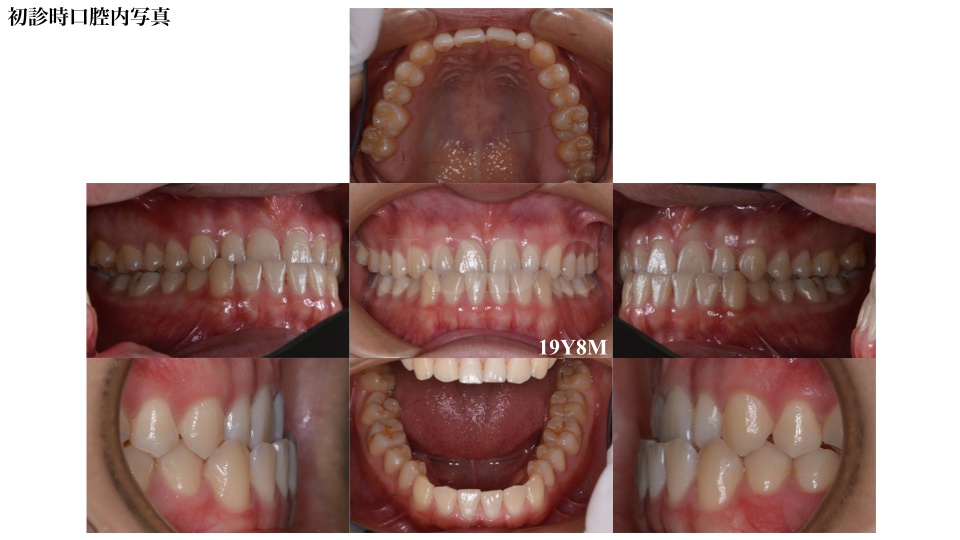
期 間 1年6ヶ月 主訴:口が閉じにくい、だらしなく見えるのが気になる 診断名:下顎前突 装置名:パッシブセルフライゲーション装置(JETsystem・当院開発) 上顎左右小臼歯2本抜歯 費用の目安:保険適応 治療の概要:10年の症例です。 (10,6,1~11,12,26)受け口 アゴの骨が前に出た人がいます。骨=遂行力です 上の歯より 下の歯が前に出ています。受け口といいます。受け口の人はその人なりの理屈を通そうとします 歯 出張った口元 鳥のように出っ張った口元の人は出歯の人です。2 19歳、男性 顎変形症(受け口:下顎前突症) 手術:手術先行(サージャリーファースト)方法による外科矯正手術:下顎骨矢状分割骨切り術、おとがい形成術(8mm短縮)
茨城県石岡市 大学生 男性 下顎前突 反対咬合 受け口 茨城県石岡市の矯正歯科なら横川矯正歯科
受け口 男性
受け口 男性- 茨城県石岡市 大学生、男性 ・下顎前突(反対咬合・受け口) 患者さまの情報 管理番号 122 ご住所 茨城県石岡市 主訴 受け口を治したい。 茨城県かすみがうら市 社会人、女性 ・叢生(八重歯・乱ぐい歯) ・開咬 受け口としゃくれは違う?受け口の人の印象は? 受け口が印象的な芸能人9選! 受け口は日々の生活にどんな影響がでる?原因とは? 受け口を治した芸能人は誰?女性は気になるもの? 受け口は自分で治せる?治療の方法は? 受け口と



10代 男性 前歯部反対咬合の矯正歯科治療 よしかわ矯正歯科 症例
16歳 男性「受け口を治したい」( 反対咬合 ) 16歳の男性です。 「受け口を治したい」との事で来院されました。 上下の前歯が逆になっています。右上の犬歯は八重歯の状態です。 叢生を伴う 反対咬合(受け口)です。 小さい頃から受け口だったそうです。☆受け口矯正症例(N・T様 27歳 男性) 1.受け口の特徴と治療法 『 下顎前突 (反対咬合、受け口)』とは不正咬合の一種で、噛み合わせたときに下顎が上顎より前方に突出していることをいいます。 今回は尿器を紹介します。 尿瓶、ホース型、自動吸引型などがあります。 構造がシンプル。男性と女性で受け口の形状が違う。容量は多くないので頻回に処理が必要。 シンプルな形状。受け口がソフトな商品もある。蓋が付いている 。
治療期間 か月15年の11月13日にスタートして 17年の7月14日に 終了 骨格的な要因を有する反対咬合です受け口の程度は比較的強く、難易度の受け口 良い所:なし 男性なら妻との夫婦嫁が円満にゆかないことが多く、女性なら夫にたよれず、自分の力で働かなければならないめぐり合わせになるでしょう。 矯正の外科手術の受け口手術体験談ブログの中には私と同じ症状の方が多くいます。 どうしても自分の口元が許せません。 2度目の顎骨切りはリスクが増しますが、名医を紹介してください。 ― 岐阜県 男性 しゃくれていて受け口です。
反対咬合・受け口 (反対咬合・Ⅲ級咬合・埋伏歯) 主訴 噛み合わせが反対になっている。 年齢・性別 11歳女性 治療費用 ¥0,000税 詳しくはコチラをクリック 受け口(反対咬 ☆受け口矯正症例MI様 歳 女性 ☆受け口矯正症例MK様 34歳 女性 ☆受け口矯正症例N・T様 27歳 男性 治療症例解説 主訴は、受け口と咬み合わせの改善で、滑舌の悪さも気になっていたそうです。これからご紹介する症例は、成人の男性で骨格性の受け口の方です。 上顎を大きくすることで歯並びも顔のプロフィールも改善した症例です。 横顔です。上顎が後退しているのがわかります。鼻の下がかなり陥凹しているのがわかります。 口腔内です。



反対咬合 舌側矯正40代男性 習志野市谷津 津田沼 奏の杜 の歯科 矯正歯科なら もりざわ歯科 矯正歯科



受け口 反対咬合 スウェーデン矯正歯科



受け口の矯正 福岡市博多区博多駅近くの矯正歯科 審美歯科さあデンタルクリニック



重度の受け口 反対交合 では 38歳男性 コラム 専門家プロファイル



受け口 インビザライン 非抜歯 治療期間2年8ヵ月 川崎市 40代男性 スマイル さくらい歯列矯正歯科二子玉川



16歳11ヶ月 男性 患者様の声 池袋 矯正歯科 大松矯正歯科クリニック



症例紹介 矯正歯科 大阪 ほてい矯正歯科



東近江 近江八幡 彦根 矯正歯科 小児歯科 佐々木歯科医院 最近の治療例 受け口 矯正治療例 歳代 男性偏



茨城県つくば市 小学生 男性 下顎前突 反対咬合 受け口 茨城県石岡市の矯正歯科なら横川矯正歯科



受け口矯正の治療症例解説 19歳以下 全体矯正



24才男 昔から受け口で悩んであごがでかい 外科手術を コラム 専門家プロファイル



10代 男性 前歯部反対咬合の矯正歯科治療 よしかわ矯正歯科 症例



今高校1の男です 小さい頃から受け口で小さい頃から矯正をサボって Yahoo 知恵袋



受け口の芸能人ランキングtop19 人気1位の人物は 画像 ランキングまとめメディア



反対交合 しゃっくれに悩み 舌側矯正は可能で 40歳男性 コラム 専門家プロファイル



受け口です 顎変形症の外科手術を含む矯正は可能でしょうか 杉並区八幡山駅近く評判の歯医者 八幡山米山歯科



インビザライン 芸能人



歯列矯正 美人になった



反対咬合 受け口 尾崎矯正歯科クリニック



極度の受け口です なんとか歯列矯正だけで改善を望んでいますが 無理でしょうか 矯正治療のスーパーカウンセラー 歯並びtv



35 10 成人男性のクラススリーも矯正歯科 歯列矯正治療できます Drdendroboim



反対咬合 受け口 インビザラインなら東京 アールエフ矯正歯科



受け口矯正 オールセラミッククラウン 未来デンタルクリニック 神戸市北区の歯科医院



受け口について相談です 広瀬矯正歯科は外科的矯正はされていますか 大学病院などの公的医療機関で行うと聞いたのですが 治療の流れ 費用を教えていただけますか 矯正治療のスーパーカウンセラー 歯並びtv



唇顎口蓋裂の患者さんのケース 初診時 三重県伊賀市 名張市の矯正専門医アイウエオ矯正歯科医院



大人の受け口 上下反対の噛み合わせ 治療 世田谷区野沢の矯正歯科 しぶたに矯正歯科



症例紹介 矯正歯科 大阪 ほてい矯正歯科



反対咬合 受け口 治療について 症例集 磯子の歯医者 根管治療なら武内歯科医院



受け口の矯正治療例 Uc矯正歯科クリニック麻布十番 東京港区



大人の矯正 下突咬合 いわゆる下顎前突 反対咬合 受け口 Case2 100症例の信頼 Jso 日本歯科矯正専門医学会



受け口 交叉咬合 保険適応 外科矯正 歳男性 K M様 京都さわだ矯正歯科



30代男性 受け口 オペケース 顎の手術を回避 歯を抜かない矯正 医 精密審美会



重度の骨格性受け口 美しさと健康のための矯正治療 白数デンタルオフィス 岡山で70年 噛み合わせの安心



受け口な芸能人 女性 男性 9選 受け口を矯正した芸能人もいる



16歳 男性 受け口を治したい 反対咬合 みやび矯正歯科医院



受け口 下顎前突 の歯並び矯正治療 東京都港区麻布十番のuc矯正歯科



極度の受け口です なんとか歯列矯正だけで改善を望んでいますが 無理でしょうか 矯正治療のスーパーカウンセラー 歯並びtv



軽度の反対咬合 受け口 の矯正治療例 代男性 治療期間2年8ヵ月 愛知県尾張旭市の歯医者 歯科 尾張旭駅10分のナガイ歯科



26歳 男性 受け口を治したい 非抜歯 反対咬合 みやび矯正歯科医院



受け口 下顎前突 の大人矯正治療 東京三鷹の三鷹miki矯正歯科



症例紹介 豊中市の矯正歯科 千里中央駅前のジョイスマイル矯正歯科



簡易トイレ 携帯トイレ 持ち歩き ポータブルトイレ 緊急用トイレ 350cc レジャー ドライブ 渋滞 防災 災害 地震 震災 男女兼用 男性 女性 エチケット袋 介護 子供 使い捨て 防災用品 簡易トイレキット ミニセル 個 脱臭剤 コンパクト 非常用トイレ 備蓄 日本製 断水



茨城県笠間市 小学生 男性 下顎前突 反対咬合 受け口 茨城県石岡市の矯正歯科なら横川矯正歯科



受け口の矯正治療例 30代男性 治療期間2年6ヶ月 Uc矯正歯科クリニック麻布十番 東京港区



1



下顎前突 受け口



16歳 男性 受け口を治したい 反対咬合 みやび矯正歯科医院



26歳 男性 受け口を治したい 非抜歯 反対咬合 みやび矯正歯科医院



16歳 男性 受け口を治したい 治療期間16か月 反対咬合 Youtube



受け口の芸能人ランキングtop19 人気1位の人物は 画像 ランキングまとめメディア



受け口矯正 オールセラミッククラウン 未来デンタルクリニック 神戸市北区の歯科医院



大人の受け口の治療 浜松市で矯正治療の期間のご相談ならいとう歯科矯正歯科ティースエクセレントクリニックへ



さくらい歯列矯正歯科症例集 スマイル さくらい歯列矯正歯科二子玉川 二子玉川駅から徒歩2分 土日も診療



16歳 男性 受け口を治したい 反対咬合 みやび矯正歯科医院



受け口 しゃくれ 下顎前突 反対咬合 外科的矯正の治療方法



茨城県石岡市 大学生 男性 下顎前突 反対咬合 受け口 茨城県石岡市の矯正歯科なら横川矯正歯科



26歳 男性 受け口を治したい 非抜歯 反対咬合 みやび矯正歯科医院



26歳 男性 受け口を治したい 非抜歯 反対咬合 Youtube



受け口矯正の治療症例解説 歳から39歳まで 全体矯正



40代男性 受け口 下のみ抜歯の矯正治療 医 精密審美会



下顎前突 受け口



大人の受け口 上下反対の噛み合わせ 治療 世田谷区野沢の矯正歯科 しぶたに矯正歯科



症例 顎変形症 口もと かみ合わせ 顔面非対称 トゥジョーサージャリーファースト法 受け口などの顎変形症 あごえら 小顔矯正 性同一性障害の顔面輪郭 鼻整形 顔面変形 睡眠時無呼吸症候群の形成美容外科専門治療 東京警察病院 形成外科 美容外科



受け口 交叉咬合 保険適応 外科矯正 歳男性 K M様 京都さわだ矯正歯科



人前に出るのはまだ慣れませんが不安な気持ちは減っていると実感していますとおっしゃられていた方です 28歳 男性 反対咬合 でこぼこの歯並び 三重県伊賀市の矯正認定医がいる歯科



症例紹介 矯正歯科 大阪 ほてい矯正歯科



受け口について相談です 広瀬矯正歯科は外科的矯正はされていますか 大学病院などの公的医療機関で行うと聞いたのですが 治療の流れ 費用を教えていただけますか 矯正治療のスーパーカウンセラー 歯並びtv



受け口 インビザライン 非抜歯 治療期間2年8ヵ月 川崎市 40代男性 スマイル さくらい歯列矯正歯科二子玉川



受け口 下顎前突 の歯並び矯正治療 東京都港区麻布十番のuc矯正歯科



フェイスライン整形外科の男性の美容整形の症例写真 韓国美容整形サポート 韓国整形無料サポートナビコリア 韓国 整形エージェント 韓国整形ブログ



45 歳7ヶ月 男性 高崎の矯正歯科スマイルデザイン



大人の矯正 下突咬合 いわゆる下顎前突 反対咬合 受け口 Case2 100症例の信頼 Jso 日本歯科矯正専門医学会



子供の受け口 上下反対の噛み合わせ の治療について 世田谷区野沢の矯正歯科 しぶたに矯正歯科



10代 男性 前歯部反対咬合の矯正歯科治療 よしかわ矯正歯科 症例



受け口 下顎前突 反対咬合 切端咬合 ザ ホワイトデンタルクリニック



ハーフリンガル代男性f様矯正日記 甲府市の矯正歯科 純矯正歯科クリニック



症例紹介 豊中市の矯正歯科 千里中央駅前のジョイスマイル矯正歯科



症例紹介 矯正歯科 大阪 ほてい矯正歯科



症例 受け口 名古屋市みずの矯正歯科



症例 唇顎口蓋裂 クルーゾン症候群 第1第2鰓弓症候群 小耳症などによる生まれつき ロンバーグ病 ケガによる顔面変形 受け口などの顎変形症 あごえら 小顔矯正 性同一性障害の顔面輪郭 鼻整形 顔面変形 睡眠時無呼吸症候群の形成美容外科専門治療 東京



受け口 ビフォー アフター症例写真集 ザ ホワイトデンタルクリニック 池袋 新宿 品川 船橋 横浜 名古屋 大阪 福岡



症例紹介 矯正歯科 大阪 ほてい矯正歯科



受け口 子供



受け口の矯正治療例一覧 京都 さわだ矯正歯科



広瀬矯正歯科



代男性 上の左右の八重歯が気になる キレイライン7回 拡大床 上下 高田馬場駅前矯正歯科



受け口の矯正症例 H Yさん 33歳男性 歯列矯正なら自由が丘矯正歯科クリニック 東京



受け口の芸能人 人気ランキングtop19 21最新版 Rank1 ランク1 人気ランキングまとめサイト 国内最大級



叢生 上下顎 反対咬合 前歯 の矯正治療例 10代男性 治療期間1年8か月 愛知県尾張旭市の歯医者 歯科 尾張旭駅10分のナガイ歯科



下顎前突 受け口 しゃくれ の矯正治療実績 東京抜かない矯正歯科研究所



受け口 下顎前突 反対咬合 切端咬合 ザ ホワイトデンタルクリニック



超しゃくれ顔の男性が矯正手術を受けた結果 イケメンに大変身 そのビフォーアフターをご覧ください



反対咬合 受け口 インビザラインなら東京 アールエフ矯正歯科



16歳11ヶ月 男性 患者様の声 池袋 矯正歯科 大松矯正歯科クリニック



東近江 近江八幡 彦根 矯正歯科 小児歯科 佐々木歯科医院 最近の治療例 受け口 矯正治療例 歳代 男性偏



受け口 下顎前突 の矯正治療 品川区の武蔵小山kt矯正歯科



受け口 反対咬合 スウェーデン矯正歯科



受け口の芸能人 人気ランキングtop19 21最新版 Rank1 ランク1 人気ランキングまとめサイト 国内最大級



40代男性 歯列矯正 反対咬合 表側矯正 ミックスブラケット はらだ歯科 症例集 症例集 はらだ歯科クリニック 大田区 京急蒲田 川崎 東京都



受け口 反対咬合 の矯正治療 千葉県八千代市の矯正歯科専門医 まきの歯列矯正クリニック



しゃくれで受け口の男に彼女はできませんか すべては金だ Yahoo 知恵袋



代 男性 出っ歯 ハーフリンガル 院長ブログ 症例集 ワダ矯正歯科



受け口 しゃくれ こみや矯正歯科



顎がしゃくれている男性芸能人まとめ 俳優 モデル タレント 芸人 24人
コメント
コメントを投稿